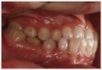
10. 反対咬合(はんたいこうごう): 前歯のかみ合わせが、逆の歯並び

前歯は、上の前歯が下の前歯
より、前にあるのが普通です。 
しかし、反対咬合の人は、下の
前歯が上の前歯よりも前にあります。

骨の状態と歯の状態

反対咬合の人は、骨の形や位置に問題がある場合と、歯の位置や生える方向に問題がある場合があります。また、その両方の場合もあります。骨の要素が大きい反対咬合ほど、治療は難しくなります。

骨の問題が大きい反対咬合です。
下の顎の骨が、上の顎の骨よりも、かなり前に出ています。

歯の問題が大きい反対咬合です。
下の顎の骨はそれほど前に出ていませんが、歯が悪い方向に生えています。


目次へ戻る