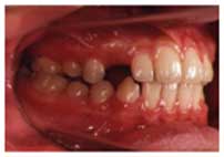
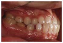
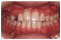
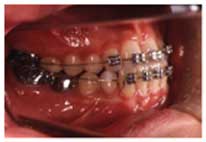
13. 子供の反対咬合の治療

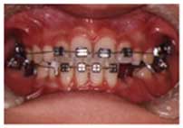
3ヶ月〜1年程度の治療で前歯のかみ合わせを治療します。(その後、動かした歯が戻らないように装置を使います)
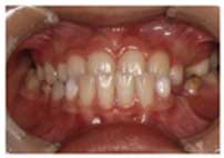
 この治療によって、前歯で物が咬めるようになります。また、反対咬合の時に見られる下の前歯に対するダメージも、除去する事ができます。
 また、下の顎の成長のしかたが、前歯のかみ合わせが正常になることによって、改善されます。装置は上の装置だけでなく、場合によって色々な装置を使います。



目次へ戻る