

| 反対咬合の人で、矯正治療を開始するのが遅かったり、または子供の頃に反対咬合の治療をして前歯のかみ合わせを改善した後、下の顎の骨の成長が非常に旺盛で、新たに反対咬合になった人の場合、永久歯が生え揃ってから、治療を行います。 | ||
![]() |
![]() |
![]() |
|
口元の変化 |
||
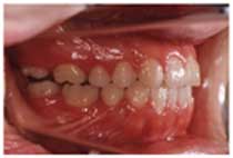
治療前 |
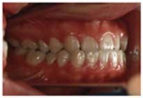
![]() 治療後 |
反対咬合では、一般に下の唇が前に出た感じになっているのが普通です。矯正治療により、下の前歯が後ろに下がると、下の唇も後ろに下がり、すっきりした感じになります。 |