15. 上顎前突:上の前歯が下の前歯に比べて      大きく前に出ている咬み合わせ

上の前歯が下の前歯よりも非常に前にあるかみ合わせを、上顎前突(じょうがくぜんとつ)といいます。
食べ物が咬みにくくなったり、発音がしにくくなったり、口が閉じにくくなったりします。

骨の状態と歯の状態
上顎前突の人は、下顎前突の場合と同じように、骨の形や大きさに問題がある場合と、歯の生える位置や方向に問題がある場合があります。また、その両方の場合もあります。

骨の問題が大きい上顎前突です。
上の顎の骨が、下の顎の骨よりも、かなり前に出ています。ひどい時には上の顎を後ろに下げたり、下の顎を前に出したりする手術が必要になります。

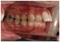
歯の問題が大きい上顎前突です。
上の顎の骨はそれほど前に出ていませんが、上の前歯が前に倒れていて、下の前歯が後ろに倒れています。



目次へ戻る