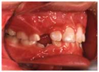
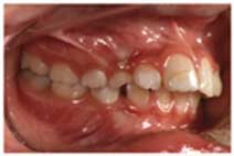
18. 子供の上顎前突の治療例

☆セクショナルアーチとヘッドギアという装置で治療した場合

子どもの時の上顎前突の矯正治療は、前に倒れている上の前歯を後ろに動かしたり、奥歯が前に出ている場合は奥歯も後ろに動かしたり、また、骨の成長している時期に、上の顎が前に成長するのを抑えたりしする場合があります。
口がちゃんと閉じられて、奥歯のかみ合わせが良い状態で、また、前歯もきちんと咬める状態で(つまり正常に近い状態にして)顔やかみ合わせを成長させてあげることで、成長途中に上顎前突が、もっとひどくなることを予防します。



目次へ戻る