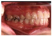
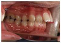
20. 永久歯が生え揃ってからの 上顎前突の治療

永久歯が生えてから上顎前突の矯正治療をする場合も多くあります。
 その場合、歯を抜いて、前歯を後ろに下げる場所を作ることがよく行われます。
 きちんと立てられた治療計画にもとづいて、どこの場所の歯を抜くかを決め、前歯を後ろに動かしてゆき、最終的に上の前歯と下の前歯が離れていない、きれいなかみ合わせを作ります。
 この治療によって、口が閉じやすくなり、すっきりしたきれいな口元になる場合が多く、また、そう言った治療方針を立てるのが普通です。



目次へ戻る