
![]()
![]() |
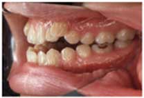
歯が縦に当たらないかみ合わせを開咬(かいこう)と呼びます。 歯が縦に当たらない部分では、物を咬むことができません。また、空気が歯の当たらない部分から出てしまい、うまく発音できない言葉が出てきます。 |
骨の状態と歯の状態
| 開咬の人も、下顎前突や上顎前突のばあいと同じように、骨の形や大きさに問題がある場合と、歯の生える方向に問題がある場合があります。 | |
![]() |
![]() |
| 歯が前に倒れていることによって起きている開咬です。 | 骨自体が上下に拡がっています。骨の変形がひどい場合は手術が必要になります。 |