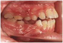
23. 開咬の子供の時の矯正治療の意義

前歯で物が咬めないことも、不自由で困ることですが、開咬の人で子供の時に治療をするのは、歯を閉じることによって、悪い癖を出しにくくするという意味も持ちます。また、癖がないのに開咬になっている人は、開咬のままでいると、新しく舌を開咬の部分に突き出す癖ができてしまうかも知れません。そう言うことを予防する意味でも、子供の時の開咬の治療は重要です。


目次へ戻る