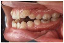
24. 永久歯が生えて揃ってからの開咬の治療

永久歯が全て生えてからも開咬が残っている場合、矯正治療で治療を行い、物が咬めるようにする必要があります。この際には舌の動きの訓練や、舌の位置の当て方も、勉強してもらいながら、矯正治療を進めます。難しい治療になることが多いので、患者さんの協力が不可欠な治療になります。


目次へ戻る