25. 交叉咬合:   一部の歯が前後逆のかみ合わせ

一部の歯が前後逆のかみ合わせを、交叉咬合と呼びます。

 交叉咬合になっている部分の歯は、反対咬合の場合と同じように、ぐらぐらしたり、歯肉が下がったりする事があります。

 また、左右非対称に交叉咬合がある場合は、顎の成長方向も左右非対称になり、顎が曲がって成長してしまうこともあります。

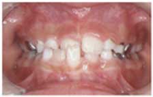
交叉咬合で歯肉が下がった例

反対咬合の時と同じように、かみ合わせが逆になっている部分の下の前歯は、ダメージを受けやすくなります。(歯肉が下がったり、歯がぐらぐらしたりします)


目次へ戻る