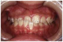
26. 偏位を伴った交叉咬合

左右非対称な形で交叉咬合がある人の場合、顎や歯ならびが曲がってしまう事があります。(歯ならびの真ん中や顎が、左右にずれていることを矯正治療では偏位と言います)

 これは顎の運動をするときに左右非対称な運動をすることで、顎の成長の仕方が左右で変わってしまうためです。

顎も横に曲がってしまいます。骨が左右で非対称に成長してしまったためです。

 このように、左右非対称な交叉咬合は、放置しておくと、骨が変形してしまうことがあります。


目次へ戻る