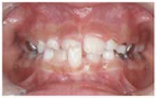
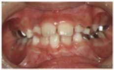
27. 交叉咬合の治療例

子供の時の交叉咬合は、比較的短期間で治療が可能です。どの歯をどの方向に動かすかを決定し、その動きにあった、一番望ましい装置で治療します。

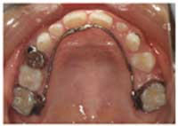
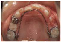
 この治療はリンガルアーチという装置で行っています。細い針金で動かした後、歯が後ろに戻らないように、止めています。


目次へ戻る