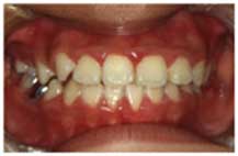
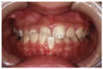
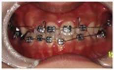
28. 偏位を伴った交叉咬合の治療例

偏位のある交叉咬合でも、かみ合わせ自体を治療することはもちろんできます。
 しかし、曲がってしまった土台の骨は、治すことができません。曲がってしまった顎は曲がったままになります。
 歯並びではなく、顎自体の曲がりが気になるときは、手術をして顎の曲がりをとるしかありません。
 成長途中の歯並びは、顔の形を決める上で非常に大切になります。
 こういう不正咬合は早めに矯正歯科医の管理を受けることが望ましいと言えます。



目次へ戻る