7. 叢生の原因(続き)

乳歯が早く抜けすぎると、永久歯が前に寄ってきます

ここに永久歯が生える
すきまがありません

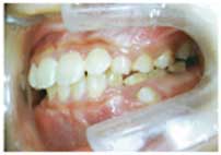
むし歯の時と同じ理由で、乳歯が
あまり早い時期になくなってしまう
と、やはり6歳臼歯が前に寄ってき
て、6歳臼歯の前の大人の歯が、生
える場所が足りなくなって、でこぼこ
になります。

もともと生える場所が悪い歯があります

本来生える位置より、ずっと
下に生えた永久歯

大人の歯の中には、生える前に、もと
もと骨の中で悪い位置にある歯があり
ます。 
そういう歯は、生えるときも、口の中
の異常な場所に出てきてしまいます。




目次へ戻る