
![]()
基本的には生活の見直しが叢生の予防の第一歩です。
しかし、口の中の環境が悪くなってしまったら、それ以上悪くしないような工夫をすることも
大切です。ここではそんな時に利用される装置を一部ご紹介します。
乳歯のむし歯で、乳歯が小さくなった場合
![]() |
乳歯のむし歯を早めになおして、6歳臼歯が前に動いて来ないようにします。 (このように、むし歯を早めに治すことは、歯並びの面からも大切です) |
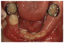
乳歯が早くなくなってしまった場合
![]() |
むし歯やなどで、乳歯を早めに抜かなければいけなかった場合は、6歳臼歯が前に来ないように、保隙装置(ほげきそうち)という装置で、6歳臼歯が前に来ないようにします。 |
|
ほげきそうち |
|
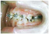
早めになくなった乳歯の場所に、6歳臼歯が前に動いてしまった場合
![]() |
前に動いてきてしまった6歳臼歯は、矯正治療で12歳臼歯が生える前に、元にもどしてあげなければいけない場合があります。 (12歳臼歯が生えてしまうと、前に動いてしまった6歳臼歯を後ろに動かすのは難しくなります) |