9.永久歯が生え揃ってからの叢生の治療

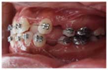
一部の歯を抜いて、その場所に歯を動かすことで、デコボコを取っています。

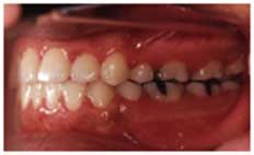
デコボコの程度がひどくなく、歯を抜かないで治療できた例です。

乳歯が全て抜けてから行う叢生の治療では、歯が生える場所がどうしても足りない場合、一部の歯を抜いて、その場所に歯を動かして、きれいなかみ合わせを作ることが行われます。
デコボコの程度が少ない場合は、歯を抜かないで、前や横に歯並び全体を拡げることで、叢生の治療ができることもあります。



目次へ戻る