1. 理想的な歯並びと不正咬合

きれいに並んでいる歯は、本来左のように、一本一本の歯がしっかりと咬むようにできています。 切歯は、包丁(下の切歯)とまな板(上の切歯の裏側)のように物を咬みきり犬歯は、顎が横に運動するときに、顎の動きを誘導し、臼歯は食べ物をすりつぶす働きをします。 歯は、理想的な歯並びで、初めて最も良い働きができるのです。

ところが、さまざまな理由で多くの人は、理想的なかみ合わせをしていません。 かみ合わせや歯並びが悪いと、理想的な歯並びに比べていろいろと不利な事があります。代表的な不正咬合には以下のようなものがあります。

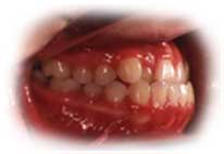
上顎前突(じょうがくぜんとつ)

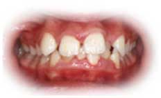
反対咬合(はんたいこうごう)

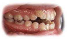
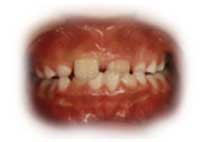
叢生(そうせい)

開咬(かいこう)

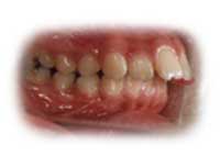
交叉咬合(こうさこうごう)



目次へ戻る